NASLOVNICA | O NAMA | USLUGE | GALERIJA | SLUČAJEVI | SAVJETI | KONTAKT |
Konzervativa
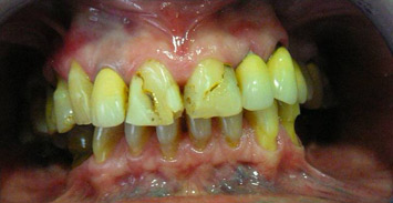
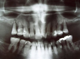
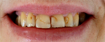
prije
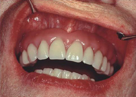
poslije
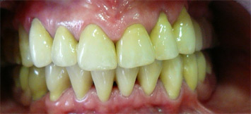
Fiksna protetka
Mobilna protetika
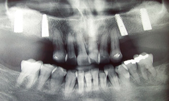
Kirurgija / implantologija
Dentalni laboratorij